صحة

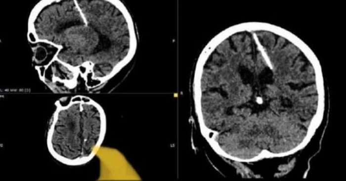
العثور على إبرة في دماغ امرأة منذ 80 عامًا

لم تَشكُ من الصداع بسبب وجود الإبرة في دماغها طوال هذه السنوات، ولم تكن تواجه أي خطر
الإبرة اخترقت الفص الجداري الأيسر للدماغ

عثر أطباء روس خلال فحص بالتصوير المقطعي على إبرة بطول ثلاثة سنتيمترات موجودة منذ ثمانين عامًا داخل دماغ امرأة مسنّة في أقصى الشرق الروسي.

ويعتقد الأطباء أن المرأة تعرضت لمحاولة قتل فاشلة نفذها والداها خلال طفولتها، خلال الحرب العالمية الثانية، عبر ادخال الإبرة في دماغها، وهي طريقة كثيرًا ما كانت تُستخدم لإخفاء أدلة الجريمة. وقالت إدارة الصحة المحلية في منطقة سخالين الروسية النائية إن "مثل هذه الحالات كانت شائعة خلال سنوات المجاعة"، حيث عاش الكثير من السكان في فقر مدقع خلال فترة الحرب.

ونوّهت الى ان الإبرة اخترقت الفص الجداري الأيسر، لكن لم يكن لها التأثير المقصود، إذ نجت الفتاة، فيما لم تَشكُ قط من الصداع بسبب وجود الإبرة في دماغها طوال هذه السنوات، ولم تكن تواجه أي خطر، لافتة إلى أن "حالتها، حاليًا، تحت مراقبة الطبيب المعالج" وإنهم لن يحاولوا "إزالة الإبرة خشية أن يفاقم ذلك حالتها".

bar_chart_4_bars مقالات متعلقة

أشياء لا تعرفونها عن العسل!

2024/08/18 03:32

الفلفل الحلو - مكوّن تجميلي بامتياز؛ هذه...

2024/07/21 13:16

اختفى عالميًا.. انتشار فيروس شلل الأطفال...

2024/07/20 16:32

31 حالة وفاة وأكثر من 350 إصابة بحمى النيل في...

2024/07/12 17:55

صراع يتجدد كل صيف: هل الماء هو أفضل مشروب؟...

2024/07/08 15:52